Use the form below to schedule an appointment.
Please take a moment to look through our smile makeover gallery to see some of our patients' "before-and-after" photos for examples of our cosmetic dental work.


Plan to replace upper and lower missing teeth with permanent dentures.
Upper arch complete denture and lower arch partial denture gives the patient a great smile, ability to chew well and support the face.


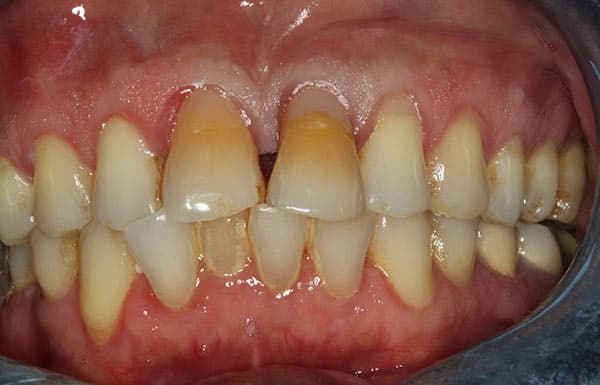
Patient needed to replace her old discolored bonding.
Smile restored with natural looking porcelain veneers


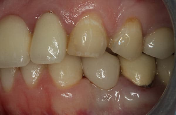
Lower anterior bridge–Patient concerned about missing lower front teeth and old chipped bridge
Lower anterior Fixed Bridge The new bridge closes the space, matches the patient’s natural teeth and fits perfect


Zoom in-office teeth whitening
Whiter teeth and brighter smile in just 1 hour


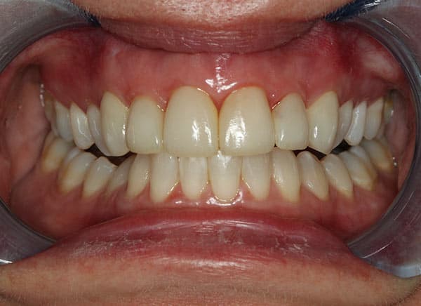
Fixed Bridge -upper front teeth due to fractured crown and discolored enamel.
All porcelain fixed bridge –Patient very pleased with beautiful esthetics and ideal form.


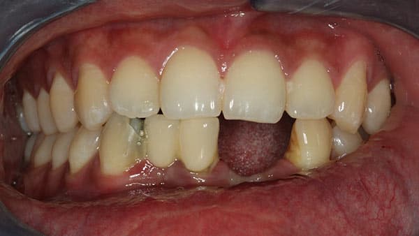
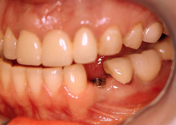
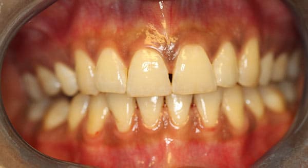
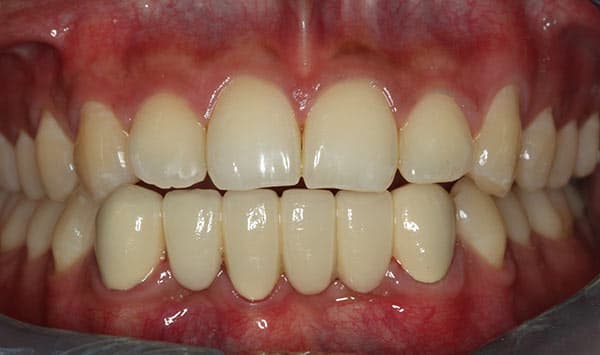
Restoring the missing tooth with a single implant
Implant crown permanently restores a beautiful smile
Google rating score: 4.8 of 5, based on 189 reviews